This article is excerpted from the 《Advanced Science》 by Wound World
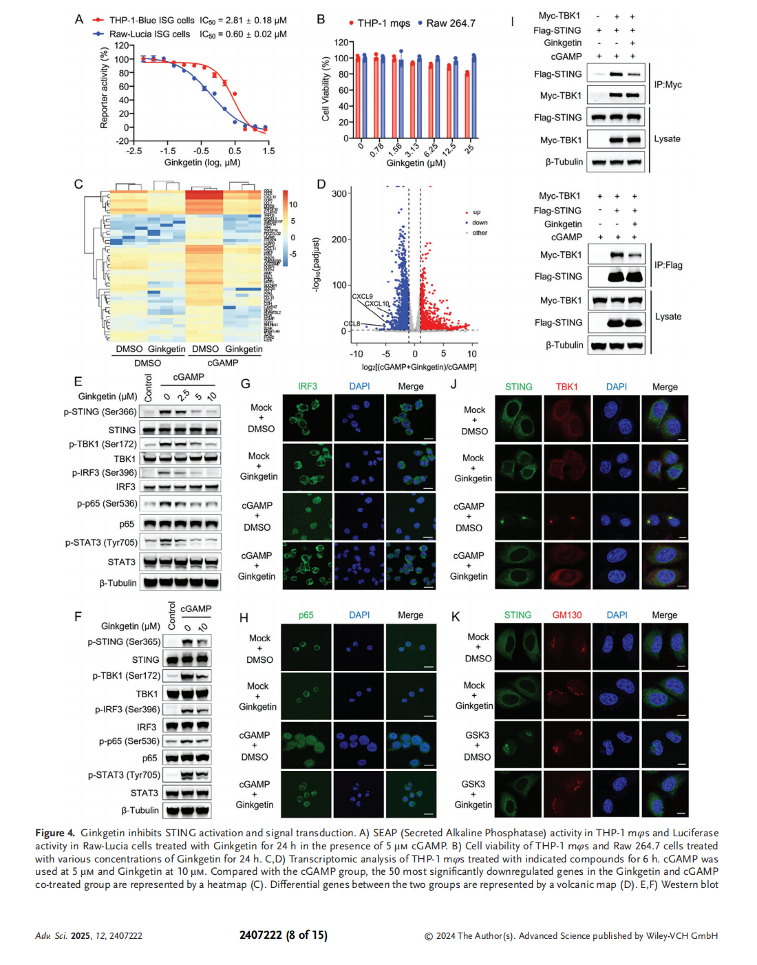
Ginkgetin Alleviates Inflammation and Senescence by Targeting STING

伤口世界
电子邮件地址 该Email地址已收到反垃圾邮件插件保护。要显示它您需要在浏览器中启用JavaScript。Latest from 伤口世界
- Mitigating Glycation and Oxidative Stress in Aesthetic Medicine: Hyaluronic Acid and Trehalose Synergy for Anti-AGEs Action in Skin Aging Treatment
- Anti-Glycation and Anti-Aging Efficacy of Newly Synthesized Antioxidant With Autophagy Stimulating Activity
- Investigation of the anti-skin aging effects of taurine through mendelian randomization analysis of its relationship with immune cells
- Anti-aging and immunomodulatory role of caffeine in Drosophila larvae
- Antiaging Metabolite-Based Polymeric Microparticles for Intracellular Drug Delivery and Bone Regeneration